DR LINA SHEIKH ELIED

Hello, I am Lina Sheikh Elied, 24 years old, a fresh dental graduate from Gaza. I started preparing for my career in dentistry very early on as a child so that I could stand out from my colleagues of the same age.

When the war started I was determined to not to stop practising, so I worked in Rafah for 3 months under extremely difficult conditions. The deafening sound of constant bombing surrounded us, with regular interruption of electricity and water, and the lack of means of transportation. I was keen to ensure that the quality of my treatment remained as good as I could possibly achieve, despite the lack of the necessary materials due to the closure of the Rafah crossing and the prevention of entry of equipment. For example, I had to replace rubber dam with gloves to maintain isolation.

 

My family and I were forced to flee from the beginning of the war due to the danger of staying in our neighbourhood. Unfortunately, we lost our beautiful home. We were forced to live within the minimum means and divide one daily meal between us in order to satisfy our hunger.

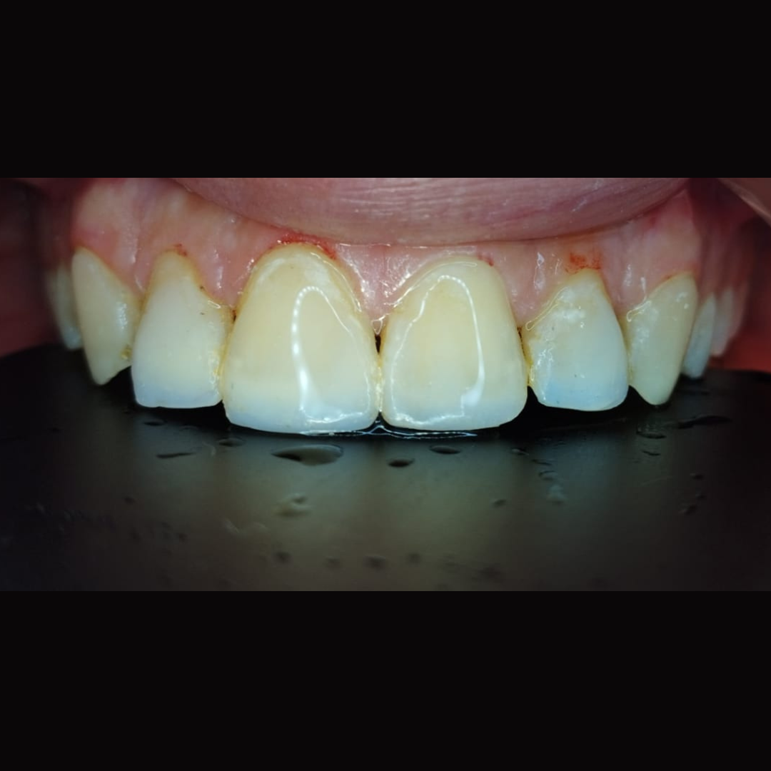
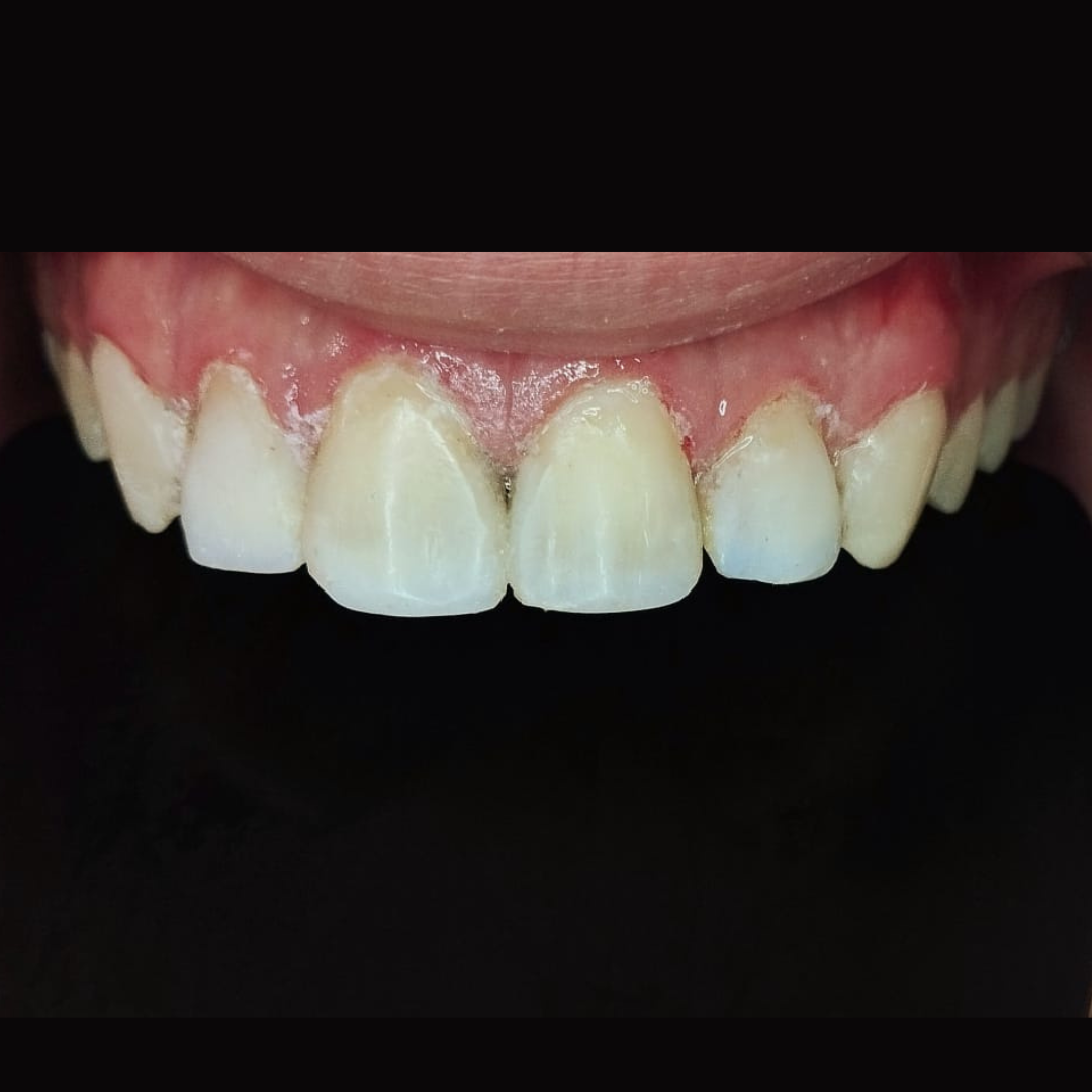
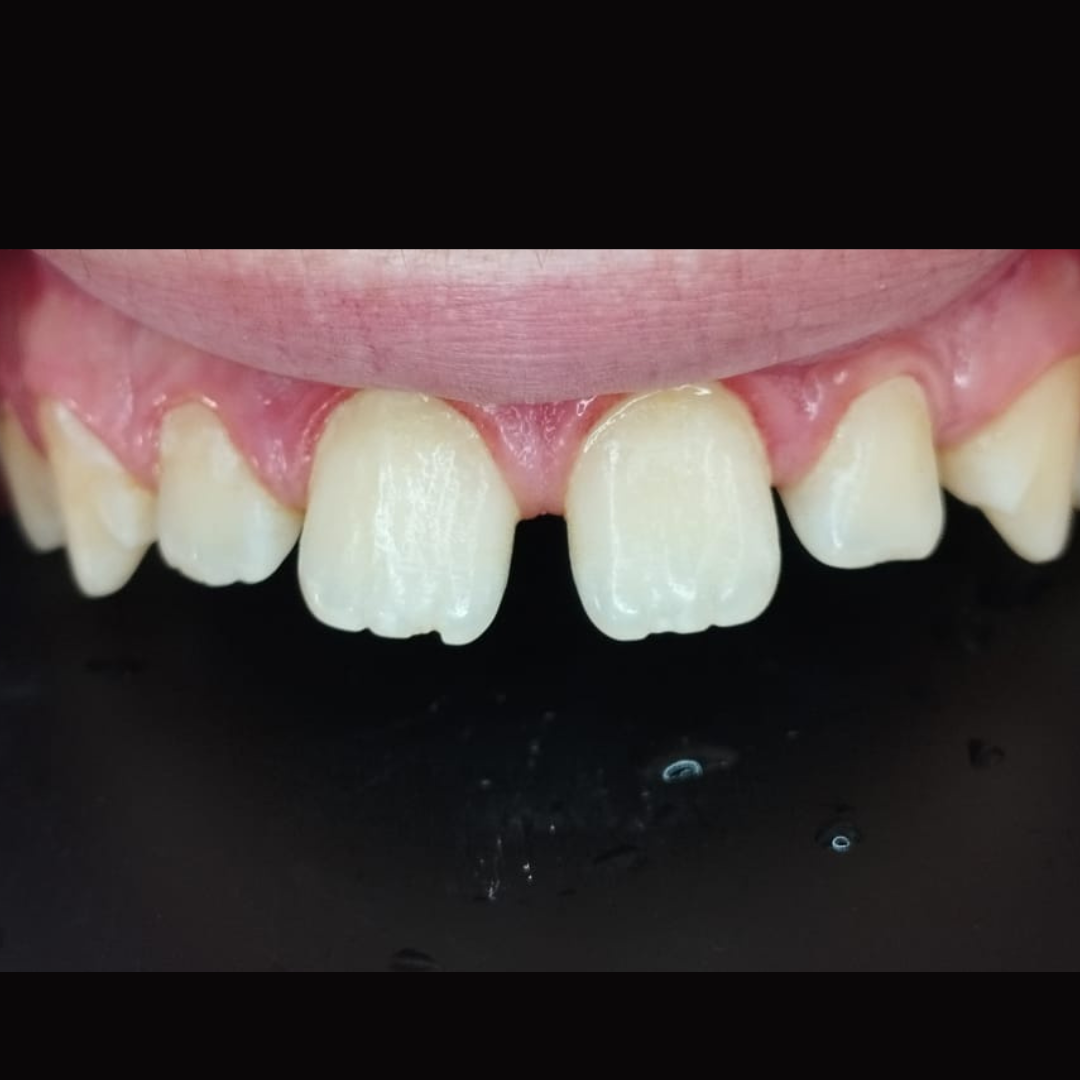
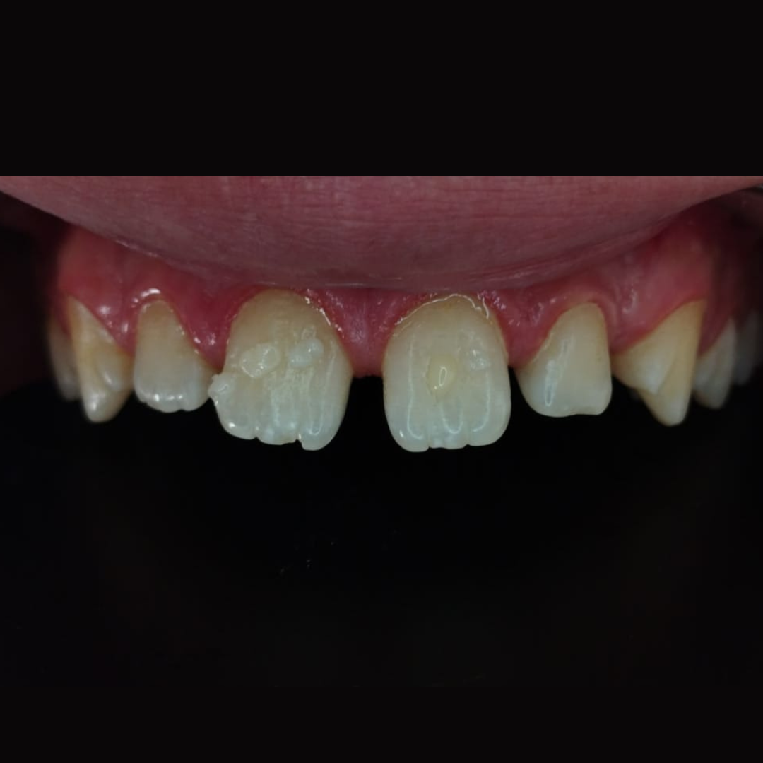
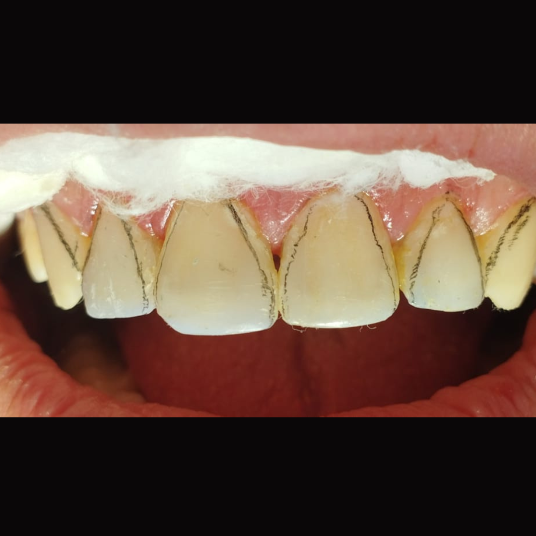
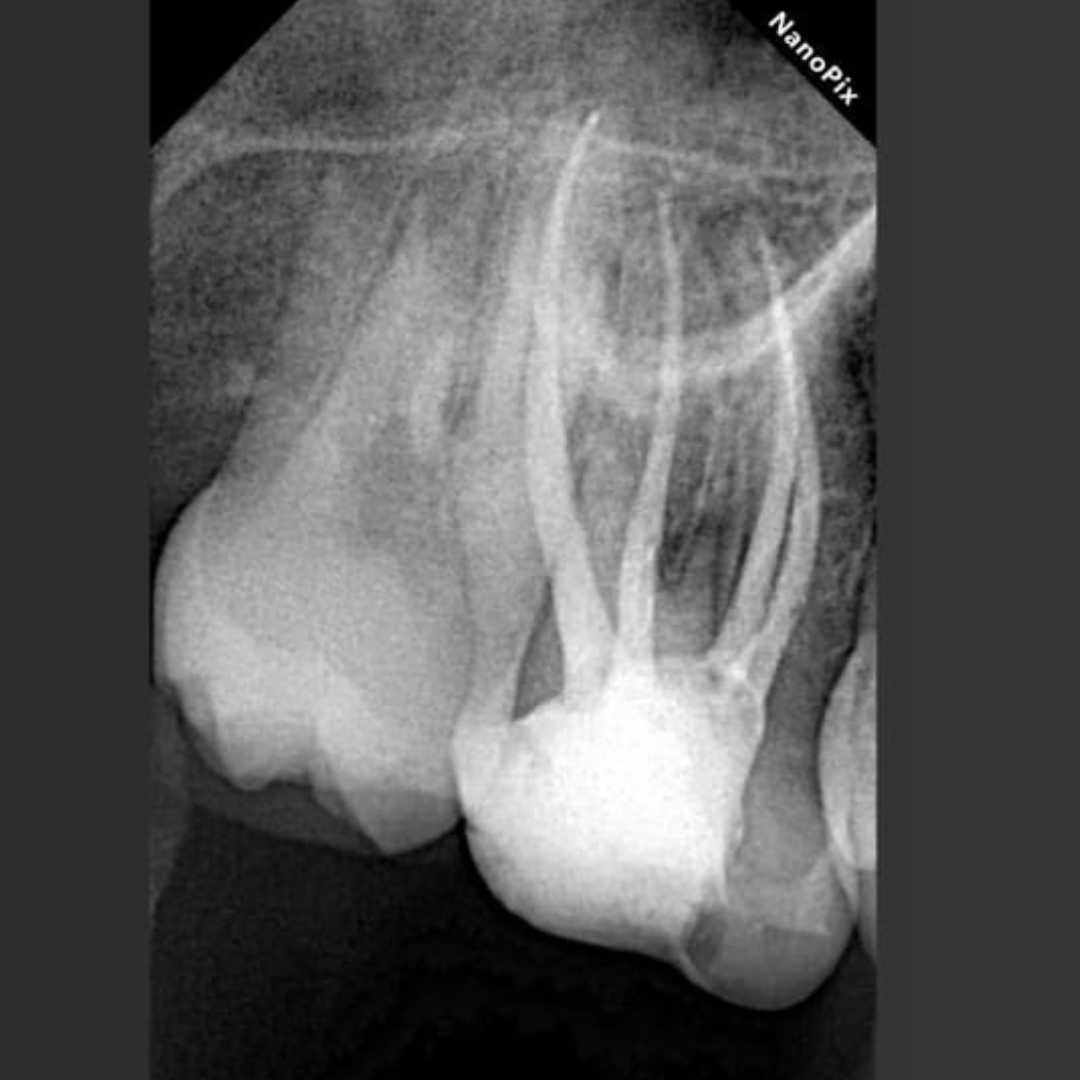
I was planning on entering the field of cosmetic dentistry and to have my name and fame in the field. I actually began this during my internship and completed a diastema closure case with a composite veneer, but at the end of my internship as the war started, the opportunity to be creative disappeared. The war has destroyed my dreams and my home, including my instruments and the camera I used for dental photography.

I have lost everything and therefore I cannot pay my university fees, which hinders my path to work and excellence as I cannot obtain my degree certificate.

Therefore, I ask you with love for your kind assistance in obtaining it which will open the door for greater opportunities in the future. 

I also learned programming in addition to my studies, all of which was completely self-taught. I learned HTML, CSS, and Bootstrap, then started learning JavaScript, and I am currently focusing on React.js. I also learned how to use the command prompt. I specialize in front-end web development and have worked on many projects, which are displayed on my GitHub profile (https://gist.github.com/leena-Eid).